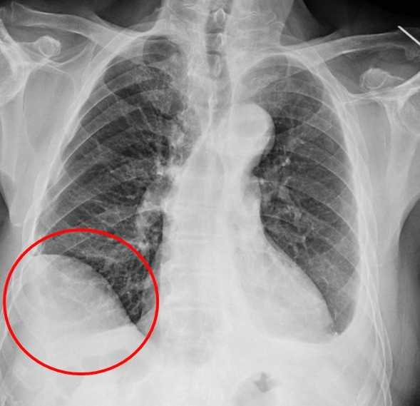
【記者 陳文偉 台中報導】75歲吳先生因肝臟細胞癌在仁愛長庚合作聯盟醫院(大里仁愛醫院)接受治療,期間發現右下肺有一顆約1.2公分新發現的腫瘤,因疑似肺癌故轉介到胸腔及心臟血管外科廖啟耀主任門診,經醫療團隊和家屬討論後決定做手術切除該腫瘤。由於病人過去有車禍導致橫隔膜受傷的病史,所以讓手術預期難度相對提高,經採用達文西機器人手術系統執行肺節切除手術,並且順利地於術後第三天出院返家休養。
廖啟耀主任表示,雖然肺臟腫瘤手術在台灣十分普及且發達,但是有些病人的情況會使醫師預期手術難度提高,其中以過去有過外傷經歷、曾經接受過胸腔手術、肺臟腫瘤接受過放射性治療的病人最為常見,這類病人常見的手術困難度為解剖構造的改變,常因為胸腔發炎反應的影響,讓肺臟與周遭肋膜產生沾黏,同時血管的方向也更難分辨,對執行手術醫師而言是一項困難的挑戰。
廖啟耀主任指出,仁愛與長庚醫療體系聯盟醫院近年來積極引進達文西機器人手術系統,並成立微創暨達文西手術中心,致力推動高品質、低侵襲性的手術照護。手術中病人的橫隔膜如果符合預期和肺臟沾黏,因此手術空間也較為狹小,達文西機器人手術可提供穩定的操作及清晰的手術視野,這對於外科醫師在分沾黏上是如虎添翼。達文西手術在這方面優勢更顯得突出,透過穩定且精細的操作,團隊將吳先生的橫隔膜與肺臟分離,並完成之後的肺節切除手術。
雖然因為外傷病史使手術困難度上升,廖啟耀主任的團隊藉由達文西機器人手臂幫助下成功完成手術,過往使用傳統開胸手術或胸腔鏡手術於類似的病人,常因為分沾黏導致肺破損所以需要較長的恢復時間,但是在進行達文西手術的過程中,不只術中沒有發生因為分沾黏常見的出血、肺破損等問題,吳先生在術後第二天便可拔除胸腔引流管,恢復順利。
廖啟耀主任強調,達文西手術是微創中的微創手術,可以幫助病人減少許多過往手術常見的問題,對病情複雜且困難的病人更是外科醫師的最佳選擇,不只創造更優秀的醫療環境,也幫助病人獲得更好的治療效果與生活品質。
[正聲新聞]彰化縣啟動帶狀疱疹(皮蛇)疫苗防護行動
[高新傳媒]115年消防節防火週 電器使用安全宣導
CoolQi
LINE ID 複製成功
加小編 LINE 諮詢
掃瞄 QR 碼加小編為好友;糾錯、指正、當事人(公司、企業、商家)申訴、投訴、廣告刊登、業採諮詢更便利!


